Mestre em Ecologia da Uema desenvolve aplicativo móvel para ensino e aprendizagem de histologia
Por Assessoria de Comunicação Institucional em 22 de julho de 2025
Pensando em facilitar o aprendizado de uma das disciplinas mais complexas da área biológica, o mestre em Ecologia e Conservação da Biodiversidade pela Universidade Estadual do Maranhão (Uema), Itallo Cristian da Silva de Oliveira, desenvolveu o HistoLabApp, um aplicativo gratuito que revoluciona o ensino de Histologia Básica. A ferramenta, disponível na Play Store, já ultrapassou 10 mil downloads em mais de 170 países e foi premiada pela Fundação de Amparo à Pesquisa e ao Desenvolvimento Científico e Tecnológico do Maranhão no Prêmio FAPEMA Bicentenário Gonçalves Dias 2024, na categoria Ciências Biológicas.
Facilitando o aprendizado teórico e prático:
A Histologia é uma disciplina essencial para cursos como Ciências Biológicas, Medicina Veterinária e áreas da saúde, mas seu estudo envolve uma grande quantidade de termos técnicos e estruturas microscópicas que podem ser desafiantes para os alunos. Pensando nisso, o HistoLabApp foi criado para simplificar a linguagem científica e auxiliar os estudantes durante as aulas práticas, permitindo que eles identifiquem estruturas histológicas com mais facilidade.
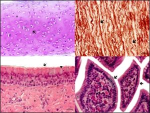
Uma das principais funcionalidades do aplicativo é a possibilidade de realizar fotomicrografias (fotos de lâminas microscópicas) e marcar as estruturas diretamente nas imagens, facilitando a revisão e o estudo. Além disso, o app conta com um banco de imagens em alta resolução das lâminas histológicas da Uema, tudo em um tamanho compacto, que não ocupa muito espaço no celular.
Surgimento durante a pandemia e impacto no ensino:
Itallo Cristian conta que a ideia do aplicativo surgiu durante a pandemia de COVID-19, quando as aulas presenciais foram suspensas: “Quando comecei a desenvolver o aplicativo, a universidade fechou, e as aulas de Histologia passaram a ser online. O HistoLabApp substituiu o laboratório por quase dois anos, permitindo que os alunos continuassem tendo contato com o conteúdo prático de forma virtual. Tivemos um retorno muito positivo dos estudantes de Biologia, Medicina Veterinária e até de outras instituições do Brasil que participaram da pesquisa.”
Desenvolvimento e reconhecimento:
O projeto foi orientado pela Professora Débora Martins Silva Santos, do Departamento de Biologia da Uema, e contou com a parceria da bióloga Natália Jovita Pereira. O sucesso do aplicativo rendeu o Prêmio FAPEMA em 2024, na categoria Ciências Biológicas, destacando sua relevância para o ensino científico.
A Uema parabeniza Itallo Cristian e toda a equipe envolvida no desenvolvimento do HistoLabApp, reforçando o compromisso da universidade com a inovação no ensino e a popularização da ciência.
Como baixar?: O HistoLabApp está disponível gratuitamente na Play Store e pode ser acessado por estudantes e professores de todo o mundo.
🔗 Faça o download agora e facilite seu estudo em Histologia!
__
Texto: Caio Marcos


